当前位置:首页 | 医院新闻|技术分享医院新闻
晋江一市民体检发现“巨大肿瘤” 两地专家联合巧妙“探囊取物”
类别:技术分享 发布时间:2020-07-07 09:22:44 浏览:740 次 [返回]
今年6月,49岁的晋江市民苏先生体检发现右上纵隔有一巨大肿物,成日担惊受怕。拿着体检报告来到晋江市医院胸外科,找到该科的郑志民副主任医师,让他帮忙看看到底这个巨大肿物是什么?
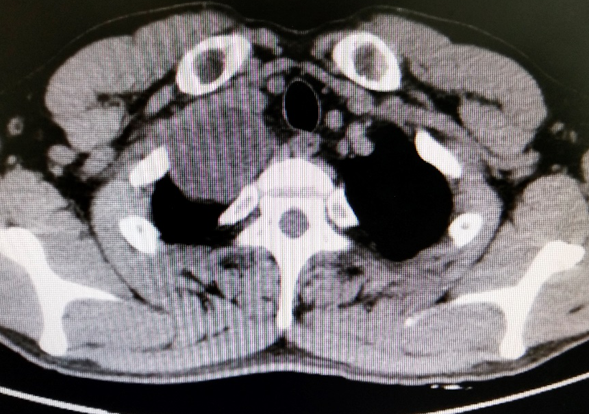
郑志民主任为苏先生进一步做了检查并询问了他的病史后,初步诊断为“右上纵隔巨大肿瘤,神经鞘瘤可能性大”,需要住院手术治疗。在苏先生住院进行了一系列检查后, 郑志民主任发现,他体内的肿瘤不仅体积大(直径约7cm),而且位置深(胸膜顶),紧邻大血管及右侧锁骨,手术难度大,遂决定向杭州的树兰医院胸外科朱理主任汇报并立即组织胸外科全科进行科内讨论。
远在杭州的树兰医院胸外科朱理主任通过与晋江市医院的郑志民主任团队进行网络会诊后,制定了详细的诊疗方案,包括手术方式,切口选择,风险预警评估等。并随后特意从杭州飞往晋江,与郑志民主任一同为苏先生行手术治疗。
手术当日,一场经过充分准备的“战斗”在手术室拉开序幕。在麻醉科的安全守护下,树兰医院朱理主任、晋医郑志民主任团队紧密配合,在两位主任强强联手下,在没有损伤到血管,没有劈开右侧锁骨、没有中转开胸的情况下,快速而巧妙地完成“战斗”。仅用时1个多小时,一场精彩的“探囊取物”顺利完成,出血仅几毫升,切口3-4cm的微创手术下,患者右上纵隔肿瘤被完整切除。术后病理诊断证实与术前判断一致,为神经鞘瘤。
术后苏先生恢复良好,各项检查正常,伤口愈合顺利,无任何不适,术后5天就顺利出院。
“自从发现了这个肿瘤,天天吃不下,睡不着,我就赶紧让孩子们带我去医院瞧瞧。跑了好几家医院,都不能给我取出来。所有医生都告诉我现在对肿物的性质尚不明确,如果要做手术的话,风险很大,出血量估计很多,而且必须要锯断锁骨才能把肿物取出来!”苏先生说,孩子们原本想带他去北京、上海的大医院看看,但是现在疫情期间,去那么远的地方看个病不容易,就想在家门口把手术做了。
“这次多亏了晋江市医院胸外科和树兰医院,帮我解决了一个大难题,以后大病都可以在家门口的医院解决了,家门口看名医,可真是为我们老百姓解决了很大的问题!”苏先生感叹。
据郑志民主任介绍,苏先生的肿瘤巨大,且位置深,位于胸膜顶,紧邻大血管及右侧锁骨,这个位置的肿瘤对胸外科医生是一个巨大的挑战,锁骨切开是一个选择,但是考虑到手术如果采取切断锁骨的方式,会对锁骨的损伤非常大,手术风险性非常大,稍有不慎,就会损伤血管造成大出血的状况。这就要求主刀医生具有丰富的手术经验和过硬的显微外科技术。所幸在树兰医院朱理主任的助力下,经过1个半小时的努力,在微创下手术顺利完成,完成一个精彩的“探囊取物”。
晋江市医院胸外科,于2016年9月独立分科,在全省县级市医院走在前列。胸外科设有床位30张,医生6名,副主任医师2名,主治医师3名,住院医师1名,其中硕士学位1人。独立开展了全部普胸微创手术,疾病诊断率、手术成功率及病人存活率均达到泉州市一流水平。肺癌、食管癌、贲门癌、纵隔肿瘤等疾病的手术技术已达泉州市级先进水平。每年门诊量约10000人次,完成了常规手术、复杂手术和难度较大的手术近250余例。近年来,更是与福建医科大学附属第一医院、福医大附属第二医院、福建省协和医院、树兰(杭州)医院、上海仁济医院、上海中山医院等胸外科形成紧密的协作,旨为晋江百姓能在家门口看名医,看大病,享受更优质的医疗服务。
擅长:各种胸部肿瘤、胸腔镜、肺癌冠心病、风湿性心脏病、先天性心脏病的手术及综合治疗。
晋江市医院胸外科学科带头人,副主任医师,曾在北京协和医院,复旦大学附属中山医院进修学习。福建省海峡医药卫生交流协会胸部肿瘤分会常务理事、中国老年学和老年医学学会肿瘤康复分会食管癌专家委员会委员、中国肿瘤防治联盟福建省肿瘤防治联盟食管癌专业委员会常务委员、福建省医学会胸外科学分会青年委员会委员、福建省中西医结合学会胸外科分会委员、福建省抗癌协会食管癌专业委员会青年委员会委员、福建省泉州市医学会胸心血管外科学分会常务委员。
擅长:肺部肿瘤,食管肿瘤,纵隔肿瘤,手汗症,脓胸,肺大泡等疾病的胸腔镜微创治疗,擅长肺结节的诊断与微创治疗。
两地专家联手
一个半小时切除“巨大肿瘤”
远在杭州的树兰医院胸外科朱理主任通过与晋江市医院的郑志民主任团队进行网络会诊后,制定了详细的诊疗方案,包括手术方式,切口选择,风险预警评估等。并随后特意从杭州飞往晋江,与郑志民主任一同为苏先生行手术治疗。
手术当日,一场经过充分准备的“战斗”在手术室拉开序幕。在麻醉科的安全守护下,树兰医院朱理主任、晋医郑志民主任团队紧密配合,在两位主任强强联手下,在没有损伤到血管,没有劈开右侧锁骨、没有中转开胸的情况下,快速而巧妙地完成“战斗”。仅用时1个多小时,一场精彩的“探囊取物”顺利完成,出血仅几毫升,切口3-4cm的微创手术下,患者右上纵隔肿瘤被完整切除。术后病理诊断证实与术前判断一致,为神经鞘瘤。
▲术前术后影像
术后苏先生恢复良好,各项检查正常,伤口愈合顺利,无任何不适,术后5天就顺利出院。
疫情期间出行不易
还好家门口医院就搞定
“自从发现了这个肿瘤,天天吃不下,睡不着,我就赶紧让孩子们带我去医院瞧瞧。跑了好几家医院,都不能给我取出来。所有医生都告诉我现在对肿物的性质尚不明确,如果要做手术的话,风险很大,出血量估计很多,而且必须要锯断锁骨才能把肿物取出来!”苏先生说,孩子们原本想带他去北京、上海的大医院看看,但是现在疫情期间,去那么远的地方看个病不容易,就想在家门口把手术做了。
“这次多亏了晋江市医院胸外科和树兰医院,帮我解决了一个大难题,以后大病都可以在家门口的医院解决了,家门口看名医,可真是为我们老百姓解决了很大的问题!”苏先生感叹。
据郑志民主任介绍,苏先生的肿瘤巨大,且位置深,位于胸膜顶,紧邻大血管及右侧锁骨,这个位置的肿瘤对胸外科医生是一个巨大的挑战,锁骨切开是一个选择,但是考虑到手术如果采取切断锁骨的方式,会对锁骨的损伤非常大,手术风险性非常大,稍有不慎,就会损伤血管造成大出血的状况。这就要求主刀医生具有丰富的手术经验和过硬的显微外科技术。所幸在树兰医院朱理主任的助力下,经过1个半小时的努力,在微创下手术顺利完成,完成一个精彩的“探囊取物”。
延伸阅读
晋江市医院胸外科,于2016年9月独立分科,在全省县级市医院走在前列。胸外科设有床位30张,医生6名,副主任医师2名,主治医师3名,住院医师1名,其中硕士学位1人。独立开展了全部普胸微创手术,疾病诊断率、手术成功率及病人存活率均达到泉州市一流水平。肺癌、食管癌、贲门癌、纵隔肿瘤等疾病的手术技术已达泉州市级先进水平。每年门诊量约10000人次,完成了常规手术、复杂手术和难度较大的手术近250余例。近年来,更是与福建医科大学附属第一医院、福医大附属第二医院、福建省协和医院、树兰(杭州)医院、上海仁济医院、上海中山医院等胸外科形成紧密的协作,旨为晋江百姓能在家门口看名医,看大病,享受更优质的医疗服务。
胸外科专家介绍
朱理
主任医师
树兰医疗特聘专家,浙江省人民医院浙江省立医院心胸外科副主任,中华心胸外科胸腔镜专业委员会、委员,浙江省医学会心胸外科分会委员,浙江省抗癌协会肺、食管专业委员会委员。擅长:各种胸部肿瘤、胸腔镜、肺癌冠心病、风湿性心脏病、先天性心脏病的手术及综合治疗。
郑志民
副主任医师
擅长:肺部肿瘤,食管肿瘤,纵隔肿瘤,手汗症,脓胸,肺大泡等疾病的胸腔镜微创治疗,擅长肺结节的诊断与微创治疗。
