当前位置:首页 | 医院新闻|技术分享医院新闻
技术分享 | 内镜下脑室造瘘“排水”——晋江市医院神经外科微创神经内镜开创新征程
类别:技术分享 发布时间:2020-08-08 08:09:37 浏览:894 次 [返回]
大脑是人的神经中枢,支持着人的生命活动,多种原因均可引起脑积水,脑室增大、颅压增高,使人的反应降低,甚至危及生命。近日,晋江市医院神经外科成功开展微创神经内镜三脑室底造瘘成功治疗脑积水,实现了我院神经内镜治疗领域的新突破。
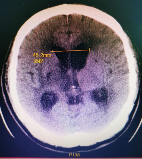
7月初王先生在我院神经外科被诊治为梗阻性脑积水,经过头颅CT和核磁的完善评估,证实脑室内有粘连影响脑脊液循环出现脑积水,王先生逐渐精神萎靡意识障碍加重、并伴有恶心、呕吐,情况十分危急。经神经外科团队详细检查和病情讨论后,决定进行手术治疗。

▲术前影像
恰逢我院对神经外科加强学科建设的投入,增加并更新了全新的神经内镜系统-STORZ神经内镜系统,与国家和省级三甲医院同一规格。


▲三脑室底造瘘术
在福建医科大学附属第一医院江常震教授的指导下,郭协力副院长、齐震主任、陈晓海副主任医师及蔡明发主治医师等人通力合作,于7月22日对王先生进行了微创神经内镜三脑室底造瘘术。手术利用脑室镜微创进入第三脑室,开放第三脑室底部约5mm,再造脑脊液循环通路,使脑室内积水得以流出。手术用时1个多小时就顺利完成,术后患者恢复到患病前状态,脑积水症状及影像均有不同程度的好转。

▲术后第二天影像
神经内镜技术是微创神经外科的一门新兴技术,它的微创理念符合目前神经外科发展趋势,减少了患者的创伤,促进患者的恢复。该手术方式较传统的脑室腹腔分流术减少了长期体内留置分流管及容易逆行感染堵管等风险、并且从患者思想解除了长期置管的压力。该项手术的成功实施也标志着晋江市医院神经外科神经内镜方向正逐渐成长成熟。
