当前位置:首页 | 医院新闻|技术分享医院新闻
技术分享 | 聚焦膝关节综合诊疗
类别:技术分享 发布时间:2020-08-09 14:31:28 浏览:681 次 [返回]
近期,晋江市医院骨科传来消息,关节外科团队在张金山副院长的带领下,分别成功为两名患者行复杂初次膝关节置换术及左膝关节病灶清除+人工膝关节一期翻修术,系医院多学科联合诊疗(MDT)团队成立后再现的经典病例,标志着我院关节外科团队综合诊疗水平又上一个新的台阶。
案例一
53岁的患者王女士,27年来一直有双膝关节反复疼痛的毛病,长期坚持抗风湿治疗。因出现双侧膝关节疼痛一个月,且疼痛感加剧,并伴双手、双腕疼痛,休息卧床时症状减轻不明显,活动受限,5月25日,王女士便在家人的陪伴下来到晋江市医院骨科就诊。
▲术前外观
经晋江市医院骨科主任郑勇强为王女士详细查体后,结合X线片显示,诊断为类风湿性膝关节炎。由于患者处于风湿活动期,炎症指标高,手术感染风险大,郑主任建议患者先住院控制住风湿活动后,再行手术治疗。
类风湿导致终末期膝关节骨性关节通常需要采用人工膝关节置换术,术前需仔绌评估,类风湿性关节炎患者病情波动,应对其预后影响因素进行分析,包括全身情况、病程、躯体功能障碍、关节外表现、血清中自身抗体、皮肤情况和x线骨破坏征象等,是一项复杂的四类手术,手术等级高、难度大、技术要求高。在王女士身体条件达标后,晋江市医院张金山副院长、骨科郑勇强主任为王女士进行人工全膝关节置换手术。手术顺利完成,王女士安全返回病房,术后恢复良好,术后第二天,王女士便能自己抬腿,术后第四天,王女士已经能下床走路了。
▲术后复查
▲出院后功能情况(膝关节屈曲100°,伸直170°)
案例二
63岁的患者陈女士,4年前因左膝关节骨性关节炎于外院行左膝关节置换术,但近两年,陈女士左膝部开始出现疼痛,且行走活动时疼痛明显,需口服消炎、镇痛药物后疼痛才能得以缓解。半年前,陈女士左膝部疼痛、畸形进行性加剧,行走活动困难,不规则口服药物消炎、镇痛治疗,症状部分缓解。陈女士反复求医无果,为求进一步诊治,于7月8日来到晋江市医院就诊。
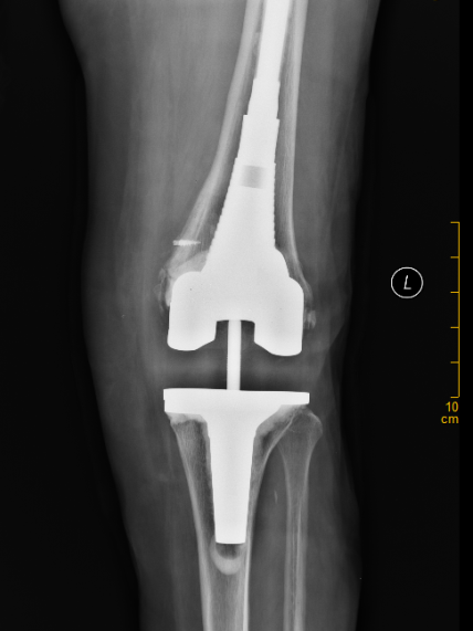
经详细查体,发现陈女士左膝关节肿胀明显、内翻畸形,关节脱位,无法行走,X线片显示,假体松动,内侧股骨髁、内侧胫骨平台部分骨溶解,左下肢内翻畸形,确诊为“左侧人工膝关节置换术后假体松动”并收住晋江市医院骨科。
▲ X线提示:假体松动,内侧股骨髁、
内侧胫骨平台部分骨溶解,左下肢内翻畸形
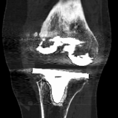
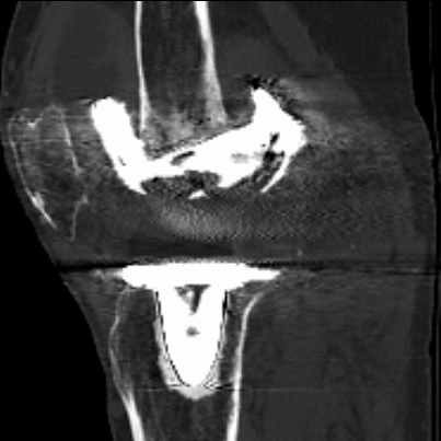
▲CT提示:假体松动,
内侧股骨髁、内侧胫骨平台骨缺损严重
▲ MRI提示:滑膜组织增生,关节腔积液,囊肿形成
入院后予陈女士完善相关检查明确诊断,多次关节腔穿刺培养排除感染后,无明显手术禁忌。在张金山副院长的带领下,关节外科团队为陈女士行左膝关节病灶清除+人工膝关节一期翻修术,术中,麻醉科主任参与术中监测。术中炎性肉芽增生明显,关节囊后方形成较大炎性囊肿包裹,骨质缺损严重,给手术带来较大难度。经过手术团体默契配合,麻醉室、手术室通力合作,手术顺利完成。在康复理疗科的康复训练指导下,患者伤口顺利愈合拆线,患者在支具保护下地行走。

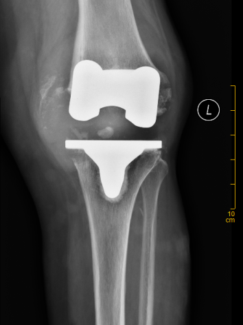
▲ 术后X线提示:关节位置良好,关节关系正常

▲ 手术后2周,伤口顺利拆线,膝关节功能活动良好
郑勇强主任指出,类风湿性导致的终末期关节炎病变患者往往需要行关节置换手术,由于多数患者服用激素或者免疫抑制剂及多关节受累,为手术期的管理及术中麻醉、手术操作及伤口愈合带来挑战。膝关节置换术后的翻修往往比初次置换要难的多,原有假体的取出,骨质缺损程度,增生炎性肉芽清除,伤口愈合情况及术后功能恢复情况等都是治疗团队需要面临的考验。
晋江市医院关节外科在晋江市医院副院长张金山的带领下,不断追求新技术、新项目,勇于挑战高难度,他们将以扎实的专业理论和丰富的临床经验为更多患者带来福音。
