当前位置:首页 | 医院新闻|改善服务医院新闻
降价不降质!我院响应“医用耗材集中采购” 减轻患者就医经济负担
类别:改善服务 发布时间:2020-08-13 09:24:27 浏览:617 次 [返回]
8月1日,福建省医疗保障局组织实施的4大类医用耗材集中带量采购正式上线施行,我院积极响应,同步跟进,同样的手术,相同的耗材,降价不降质,有效地降低了患者的住院费用,减轻患者就医的经济负担。
来自东石镇的患者施女士今年52岁,近年来由于双膝关节的严重退变,行走十分困难,生活质量受到了严重的影响。施女士曾辗转多家医院就诊,医生均明确告知需手术治疗才能彻底解决问题,但如果双侧膝关节同时手术治疗,费用动辄十几万,施女士不由压力倍增。
2020年8月1日,福建省医保局下发“医用耗材集中采购”实施的通知,作为医保定点医院,我院立即通知了施女士,希望能够解决施女士的难题,施女士很快接受了手术的治疗和专业建议。
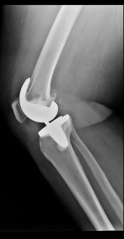
因施女士有冠心病支架植入病史,术前通过心内科、麻醉科多学科会诊后,决定一期行右全膝关节置换术,二期再行左侧膝关节置换手术治疗。8月4日,在张金山副院长的带领下,为施女士顺利地进行了右侧人工全膝关节置换术,手术效果十分显著。
“一切都太快了。”施女士说,住院的流程都很顺畅,住院当天所有的检查都安排就绪,手术也仅1个多小时就完成了,术后基本感觉不到疼痛,第2天还有专门的康复科医生在床边协助功能锻炼并指导下地行走。对于本次的就医体验,施女士表示非常满意,“原本以为要住院大半个月,哪里能想到这么快就能下地行走,术后几天就能出院。”
目前,施女士已顺利出院。
我院张金山副院长表示,“医用耗材带量集中采购,以量换价”让患者住院费用得到了大幅度的降低,以施女士实行的膝关节置换手术为例,手术耗材较以往降价1万多元,全部住院费用通过农保报销后患者仅需自费1万多元,此政策利国惠民,保障医疗质量不变的同时大大解决患者的经济难题,保证了我市人民的健康,也是落实健康中国战略的重要举措。
